Cirurgias do Quadril

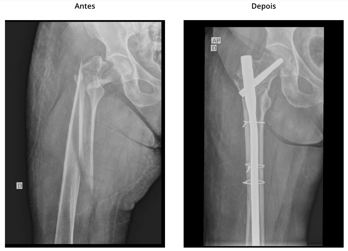
Fratura do fêmur proximal

Foto de Fratura do fêmur proximal

As fraturas do fêmur proximal, são mais comuns em idosos e geralmente resultam de quedas da própria altura ou traumas de baixa energia, ocorrem devido à fragilidade óssea associada à osteoporose que é comum nessa idade. O tratamento é predominantemente cirúrgico e está bem estabelecido o benefício de realizar o mais breve possível, principalmente para restaurar a mobilidade e minimizar o impacto na qualidade de vida.

O manejo da fratura do fêmur proximal pode envolver cirurgias de fixação com hastes intramedulares do fêmur proximal ou a substituição do quadril por artroplastia, a depender da localização e característica da fratura. A reabilitação, que inclui fisioterapia e exercícios de fortalecimento muscular, é fundamental para a recuperação. Além disso, medidas preventivas, como a suplementação de cálcio e vitamina D, e exercícios de equilíbrio, são essenciais para reduzir o risco de novas quedas e fraturas futuras.

Foto de Fratura do fêmur proximal

Dê o primeiro passo para o alívio da dor!

Não deixe a dor tomar conta do seu dia a dia.
Agende uma consulta e descubra qual é o melhor tratamento para o seu caso.

Agendar Consulta

Perguntas Frequentes (FAQ)

O que é fratura do fêmur proximal?

Uma fratura na parte superior do osso da coxa, próxima ao quadril, geralmente causada por quedas ou traumas diretos.

A fratura do fêmur proximal sempre precisa de cirurgia?

Sim, fraturas do fêmur são de indicações cirúrgicas, especialmente em idosos, a cirurgia é essencial para recuperação adequada e retorno da mobilidade.

Como é a recuperação após a cirurgia?

Recuperação prioriza ao máximo o retorno precoce às atividades, com fisioterapia intensiva é indicada logo nos primeiros dias pós operatório.

Quais complicações possíveis dessa fratura?

Incluem infecção, coágulos sanguíneos, complicações cardíacas e problemas de cicatrização.

Por que idosos têm mais risco dessa fratura?

O risco aumentado ocorre pelo enfraquecimento ósseo na região do fêmur e maior propensão a quedas dos idosos.

Como prevenir fraturas do fêmur proximal?

Manter atividade física regular com fortalecimento dos membros inferiores, melhora do status de saúde do paciente de idade, prevenção de quedas com controle do ambiente, controle dos medicamentos crônicos.

Qual o tempo médio para recuperação completa?

Geralmente, 3 a 6 meses para retorno pleno das atividades diárias.

É possível voltar a andar normalmente após a fratura?

Sim, com tratamento adequado e fisioterapia é possível recuperar totalmente a capacidade de caminhar.

Existe tratamento não cirúrgico para fratura do fêmur proximal?

Apenas em casos extremamente específicos e raros, com fraturas incompletas e mínima deslocação.

Quanto custa em média a cirurgia dessa fratura?

Varia entre R$ 25.000 a R$ 50.000 dependendo do hospital e tipo de tratamento. Mas o valor final só é informado pelo especialista mediante análise.

Foto do Dr. João Mauro

Por que escolher
um especialista?

Médico Ortopedista e Traumatologista, especialista em articulação do quadril, membro da Sociedade Brasileira de Ortopedia e Traumatologia e membro da Sociedade Brasileira de Quadril. 

Ênfase no tratamento clínico e cirúrgico das doenças articulares degenerativas do quadril e das demais patologias articulares da região da pelve. 

Atuação também no tratamento de fraturas articulares do quadril e dos membros inferiores, além de dores musculares diversas entre outras patologias ortopédicas.

Formação

  • Residência em Ortopedia pelo Hospital Universitário de Canoas
  • Especialização em Cirurgia do Quadril pelo Hospital de Clínicas de Porto Alegre
  • Pós-graduado em Medicina Regenerativa pela STEM São Paulo
  • Membro da Sociedade Brasileira de Ortopedia e Traumatologia (SBOT)
  • Membro da Sociedade Brasileira de Quadril (SBQ)
  • Mais de 4.000 cirurgias realizadas
  • Mais de 800 próteses de quadril implantadas

Pronto para recuperar sua mobilidade?

Conte com o cuidado de um profissional dedicado exclusivamente ao quadril. 
Não espere a dor piorar.

Agendar Consulta

Onde o Dr. João Mauro atende?

Hospital Moinhos de Vento

Porto Alegre

Hospital Moinhos de Vento

Rua Ramiro Barcelos, 910

(51) 3314-3434
Complexo Maxplaza Medical Center

Canoas

Complexo Maxplaza Medical Center

Avenida Getúlio Vargas, 4831 – Sala 910, Torre Medical

(51) 3472-7099
Hospital Dom João Becker

Gravataí

Hospital Dom João Becker

Avenida José Loureiro da Silva, 1561

(51) 3213-7646

Convênios aceitos

Logo de Unimed
Logo de Fundação Assefaz
Logo de BC Saúde
Logo de Bradesco Saúde
Logo de SulAmérica
Logo de Saúde Caixa
Logo de Ajuris
Logo de Cabergs Saúde
Logo de Amil
Logo de Mediservice
Logo de SaúdePAS
Logo de Golden Cross
Logo de DoctorClin
Logo de Sulmed
Logo de Ipe Saúde
Logo de MedSênior
Logo de GEAP Saúde
Ícone do WhatsApp